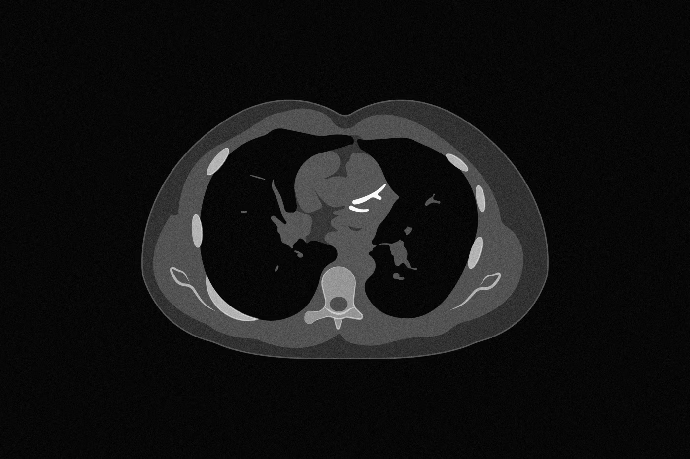
Calcium scoreWhat is a calcium score?A calcium score is a $200 CT scan that shows plaque in your arteries. Here's what your score means and why it doesn't tell the whole story.4 min read|Veevo HealthRead guide
CT angiogramWhat is a coronary CT angiogram?A coronary CT angiogram shows soft plaque, calcified plaque, and blockages in your heart arteries. Here's when to get one and what the results mean.4 min read|Veevo HealthRead guide
CholesterolWhat is LDL cholesterol?LDL is the most widely measured heart-risk marker. Your target depends on your calcium score. Here's what the number means and how to lower it.4 min read|Veevo HealthRead guide
CholesterolWhat is Lp(a)?Lp(a) is a genetic cholesterol particle that 1 in 5 people have elevated. Diet and exercise don't lower it. Here's what to do if yours is high.4 min read|Veevo HealthRead guide
CholesterolWhat is ApoB?ApoB counts every particle that causes plaque. It's more accurate than LDL and should be on every cholesterol panel. Here's what your number means.4 min read|Veevo HealthRead guide
CholesterolWhat are triglycerides?High triglycerides are a sign of insulin resistance. They're one of the most responsive numbers to diet and exercise. Here's what yours means.3 min read|Veevo HealthRead guide
Blood pressureUnderstanding blood pressureHigh blood pressure damages your artery walls and doubles your heart attack risk. Here's what the numbers mean and how to get yours under control.4 min read|Veevo HealthRead guide
Blood pressureWhat is diastolic blood pressure?Diastolic blood pressure is the bottom number in a blood pressure reading. Here's what it means and when it matters most.5 min read|Veevo HealthRead guide
Blood pressureUnderstanding resting heart rateYour resting heart rate is one of the simplest fitness and heart-health signals you can track. Here's what it means and how to lower it.5 min read|Veevo HealthRead guide
Blood pressureWhat is heart rate variability?Heart rate variability (HRV) is the variation in time between your heartbeats — a window into recovery, stress, and autonomic health.5 min read|Veevo HealthRead guide
Blood sugarWhat is HbA1c?HbA1c shows your average blood sugar over three months. It's how diabetes is diagnosed. But insulin resistance can damage your arteries before HbA1c rises.4 min read|Veevo HealthRead guide
Blood sugarWhat is fasting blood sugar?Fasting glucose measures your blood sugar after not eating overnight. Normal doesn't always mean safe. Here's what to watch for.3 min read|Veevo HealthRead guide
Blood sugarWhat is a continuous glucose monitor?A continuous glucose monitor (CGM) is a small sensor that tracks your blood sugar in real time. Here's how it works and who benefits from one.5 min read|Veevo HealthRead guide
Body compositionWhat is visceral fat?Visceral fat wraps around your organs and drives inflammation, insulin resistance, and heart disease. Here's how to measure it and reduce it.4 min read|Veevo HealthRead guide
Body compositionWhat is waist-to-height ratio?Keep your waist below half your height. This simple rule predicts heart disease risk better than BMI. Here's how to measure and what to do if you're above.3 min read|Veevo HealthRead guide
Body compositionWhat is a DEXA scan?A DEXA scan is a short, low-radiation scan that gives you a precise breakdown of body fat, muscle, and bone — including visceral fat.5 min read|Veevo HealthRead guide